台中市一名92歲的阿嬤,近期頓感輕微腹痛,但因為她沒有外傷、沒有嘔吐、沒有拉肚子,也沒有發燒,起初不以為意,直到症狀持續整整一天,她才前往澄清醫院中港院區掛急診,不過醫師林俊男透過超音波檢查,竟診斷出阿嬤是肝癌腫瘤破裂出血,致死率高達25至75%的急症,於是火速動刀搶命,事後得知自己罹癌的阿嬤,也趕緊接受腫瘤分期評估,進行徹底治療。
以為輕微腹痛 就醫才知肝癌腫瘤破裂
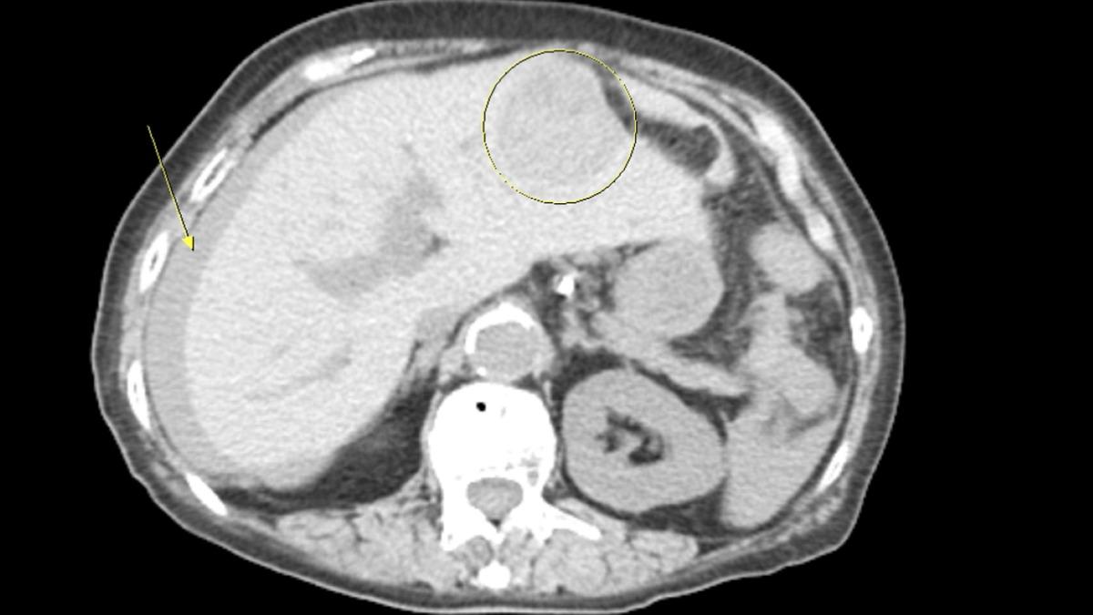
據了解,阿嬤過去並無肝癌就醫紀錄,但日前她遇上突發性腹痛,不過奇怪的是,阿嬤沒有外傷、嘔吐、拉肚子或發燒,原本以為只是單純肚子痛,但因為整整腹痛一天,家人保險起見帶阿嬤掛急診,經林俊男抽血、急診超音波檢查,發現阿嬤腹腔有積液情形,將成分抽出驚見10CC血液,研判是肝腫瘤破裂出血。
肝癌破裂4徵兆 致死率最高75%
林俊男說明,每天在急診都遇到許多腹痛病患,但因為肝臟腫瘤起初不太會痛,所以很少有病患特別去做檢查,等到出現明顯徵兆後,往往都已經是中後期,現今可用急診超音波加速診斷及治療,避免在等待過程中,病患持續腹內出血,造成低血容性休克,更嚴重可能導致凝血功能異常、低體溫等惡性循環。同時林俊男進一步補充,肝癌破裂徵兆為急性腹痛、腹脹、貧血及低血容性休克,而肝癌在近10年來,一直是台灣癌症死亡的第二位,其中腫瘤破裂出血僅輸給腫瘤進展及肝衰竭,為第三大死因,致死率高達25至75%,是非常危險,且不算少見的狀況。
◤賞楓季開跑 搶旅遊優惠◢
◤對抗極端天氣◢





